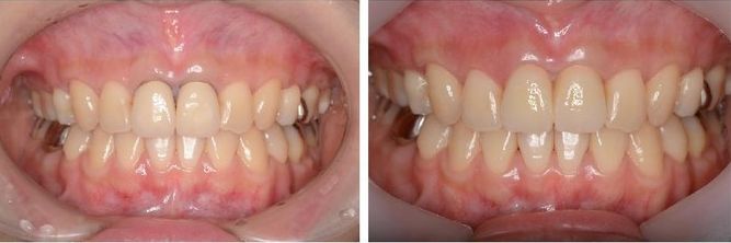
オールセラミッククラウン
荻窪グレイス歯科・矯正歯科の治療例をご紹介します。
審美治療(オールセラミッククラウン)
治療前 治療後

荻窪でホワイトニングをお考えなら荻窪グレイス歯科・矯正歯科まで
①デメリット
欠ける恐れあり。歯と歯茎の境目が露出する場合がある。
②治療期間
2ヶ月
③通院回数
3回
④かかった費用(税込)
150,000円
荻窪グレイス歯科・矯正歯科 | 記事URL
荻窪グレイス歯科・矯正歯科の治療例をご紹介します。
審美治療(オールセラミッククラウン)
治療前 治療後

荻窪でホワイトニングをお考えなら荻窪グレイス歯科・矯正歯科まで
①デメリット
欠ける恐れあり。歯と歯茎の境目が露出する場合がある。
②治療期間
2ヶ月
③通院回数
3回
④かかった費用(税込)
150,000円
こんにちは
荻窪駅徒歩3分の荻窪グレイス歯科・矯正歯科院長の奥津です。
審美治療(オールセラミッククラウン)
治療前 治療後

荻窪でホワイトニングをお考えなら荻窪グレイス歯科・矯正歯科まで
①デメリット
欠ける恐れあり。歯と歯茎の境目が露出する場合がある。
②治療期間
2ヶ月
③通院回数
3回
④かかった費用(税込)
150,000円
荻窪グレイス歯科・矯正歯科の治療例をご紹介します。
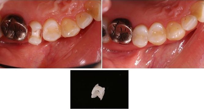
セラミックインレー
治療前 治療後

①デメリット
破折の恐れあり。
②治療期間
1ヶ月半
③通院回数
3回
④かかった費用(税込)
60,000円
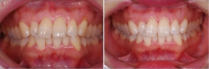
荻窪グレイス歯科・矯正歯科の治療例をご紹介します。
ホワイトニング
治療前 治療後

①デメリット
しみる場合あり。後戻りする場合あり。
②治療期間
1ヶ月
③通院回数
1回
④かかった費用(税込)
55,000円